贊助協會救治街貓帳戶--
外幣贊助匯款指示書>>
(北市社會字第3300號)
玉山銀行 中崙分行(代碼808)
0912940006763
戶名:社團法人臺北市支持流浪貓絕育計劃協會
收據可抵稅請將地址mail至cashier@tnrtw.org0912940006763
戶名:社團法人臺北市支持流浪貓絕育計劃協會
外幣贊助匯款指示書>>
(北市社會字第3300號)
已完成醫助款案例 |
|
- 編號: 9855
-
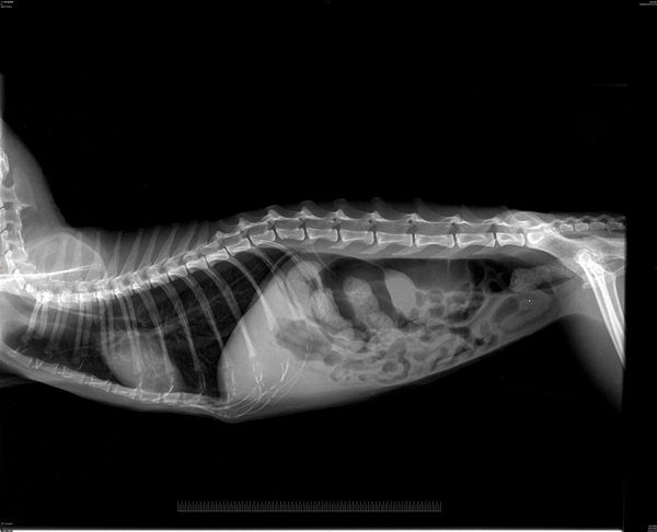
主題: 脫水口炎腫瘤橘貓 申請者姓名: 劉素鳳 花色: 申請日期: 2020-09-14 10:12:01 申請者部落格: 申請者臉書網址: https://www.facebook.com/sufeng.liu 所在縣市/合作醫院: 高雄市/弘恩動物醫院 治療費用: 10000元 需求人數: 25人 已結案 (2024-05-31 18:13:28) 報名人員: Mui x5(已付款)、Mui x20(已付款)、 候補人員: 動物病情說明: 餵貓經過鼓山二路和興隆路口看到車下一隻髒髒躲著的貓咪, 放食物給他不吃
貓咪看起來狀況很糟糕
抓起來送到醫院動物近況說明: 貓咪一到醫院, 發現體溫過低有嚴重的脫水.
口腔檢查發現有嚴重口炎, 還有一個腫瘤腫塊.
預計在敗血症穩定後手術切除.
在血檢發現有黃膽脂肪肝的現象, 有流鼻涕上呼吸道感染. 因為有敗血症給予三代抗生素治療.
入院兩天後醫生告知體溫有必較恢復了.
但沒想到後來突然很喘 血壓很低, 醫生先打強心劑並觀察. 但清晨貓咪還是沒撐過離開當天使了. 大黃脫離病痛, 感謝大家的幫助讓他好好走完最後一段.











