贊助協會救治街貓帳戶--
外幣贊助匯款指示書>>
(北市社會字第3300號)
玉山銀行 中崙分行(代碼808)
0912940006763
戶名:社團法人臺北市支持流浪貓絕育計劃協會
收據可抵稅請將地址mail至cashier@tnrtw.org0912940006763
戶名:社團法人臺北市支持流浪貓絕育計劃協會
外幣贊助匯款指示書>>
(北市社會字第3300號)
已完成醫助款案例 |
|
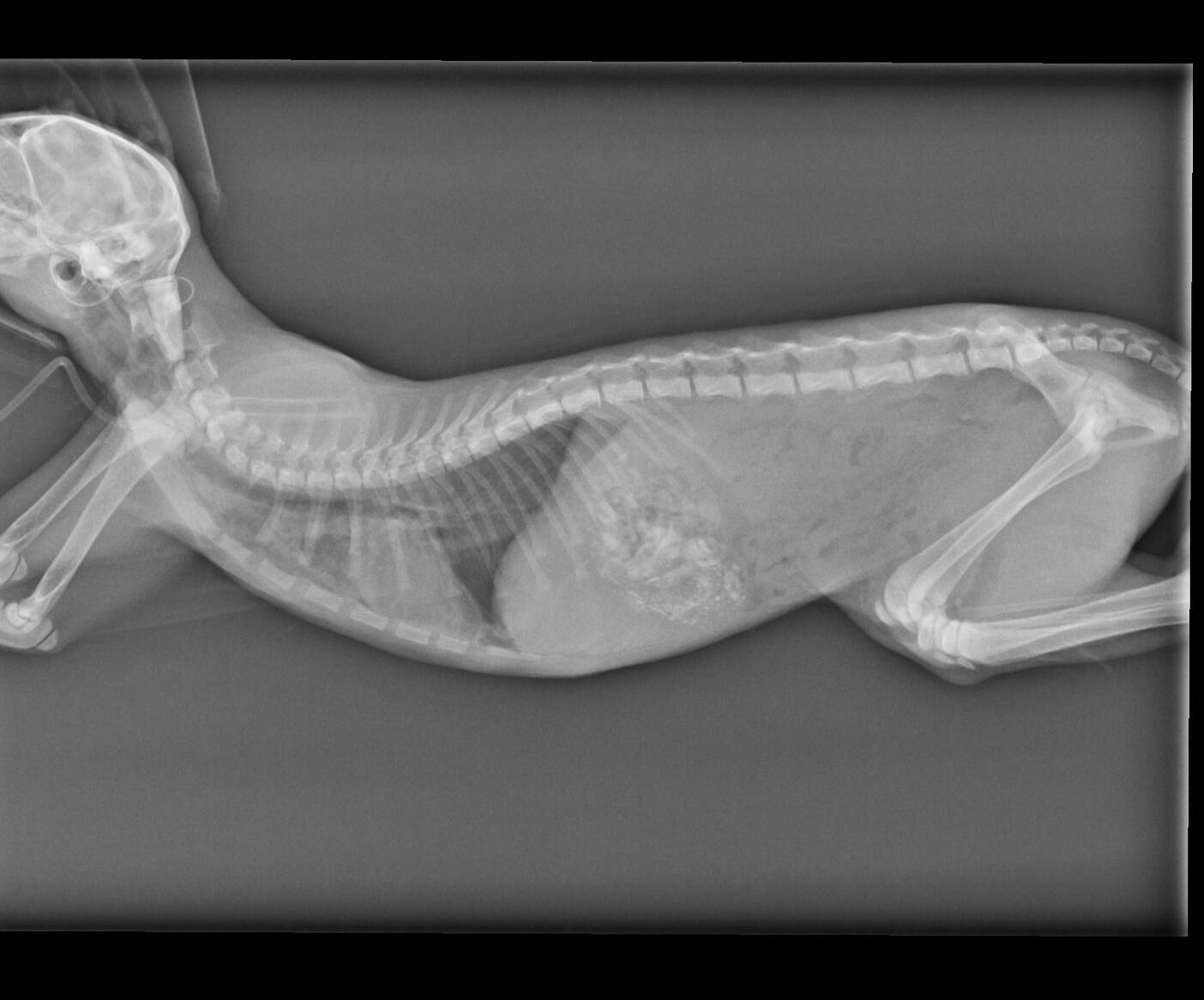
- 編號: 9701
-
主題: 被車撞到的小貓平安 申請者姓名: 梁仕宏 花色: 申請日期: 2020-05-15 15:12:04 申請者部落格: 申請者臉書網址: 梁仕宏 所在縣市/合作醫院: 高雄市/小新動物醫院 治療費用: 5000元 需求人數: 22人 已結案 (2024-05-31 18:16:25) 報名人員: philtery x10(已付款)、艾曼達、艾曼達 x7、艾曼達 x4(已付款)、粉圓(已付款)、派派 x5(已付款)、superwu、superwu(已付款)、Candice(已付款)、 候補人員: 動物病情說明: 安安是隻約三個月大的小賓士,可能是年紀太小不會過馬路,又或是因騎士沒注意而撞到牠,牠被撞後緊張逃進路邊診所,好心的工作人員洽好是社團貓友因而在社團求援,由於案發地在我家附近,通報時間又是4月13日晚上近9點,時間非常緊迫,怕醫院近關門時間,所以我立刻到現場救援並聯絡醫院等我將牠送醫。 動物近況說明: 安安在醫院積極幫忙治療下,經過兩三天已脫離險境,身體狀況也好轉,但醫院再次觀察她,卻發現可能因為車禍關係產生赫尼亞現象,建議第一階段住院完成後休養2-3週再進行腹腔修補手術。在她住院期滿先行出院安置期間,她變的非常可愛親人,中途點也幫她洗澡整理,也積極幫她找家。非常值得慶幸的是,有好心的家庭願意認養,而且她的赫尼亞現象也持續改善,所以再帶她回醫院複診,確認修補手術可合併日後結紮一起進行。感謝協會,醫院,大家的幫忙,讓她度過被撞可能失去生命的難關,找到她未來的幸福。











