贊助協會救治街貓帳戶--
外幣贊助匯款指示書>>
(北市社會字第3300號)
玉山銀行 中崙分行(代碼808)
0912940006763
戶名:社團法人臺北市支持流浪貓絕育計劃協會
收據可抵稅請將地址mail至cashier@tnrtw.org0912940006763
戶名:社團法人臺北市支持流浪貓絕育計劃協會
外幣贊助匯款指示書>>
(北市社會字第3300號)
已完成醫助款案例 |
|
- 編號: 9164
-
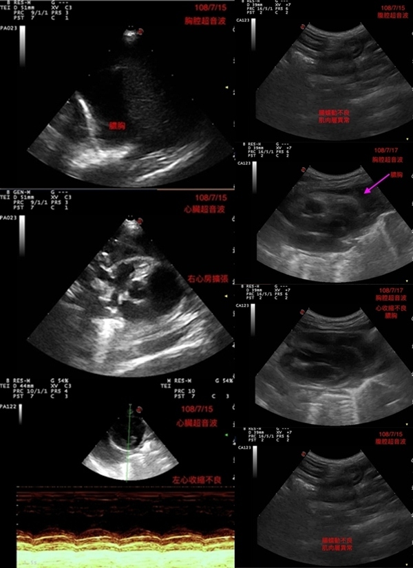
主題: 膿胸敗血與感染的小花貓 申請者姓名: 劉素鳳 花色: 申請日期: 2019-08-18 09:19:35 申請者部落格: 申請者臉書網址: https://www.facebook.com/sufeng.liu 所在縣市/合作醫院: 高雄市/弘恩動物醫院 治療費用: 24000元 需求人數: 56人 已結案 (2024-05-31 18:29:50) 報名人員: Fish Chen(已付款)、林宛瑾 x4(已付款)、Hsiao-Han Hou x2(已付款)、李坤財(已付款)、Pon x2(已付款)、Heidy(已付款)、wgs(已付款)、喵寶 x2(已付款)、李奇哥(已付款)、jl0858(已付款)、衛生紙(已付款)、YiLing Li(已付款)、Eliepig x2(已付款)、Mia Jheng(已付款)、宋小冠(已付款)、彷彿是昨天(已付款)、FAT 5(已付款)、Jasmine Lin(已付款)、KimmyChen(已付款)、gillian x2(已付款)、Claire Hsu(已付款)、Sky Lin(已付款)、Ingham Kao(已付款)、ANN(已付款)、何偉靖(已付款)、vivian(已付款)、Minnie(已付款)、黛咪 x7(已付款)、喜樂啊(已付款)、紫米糕(已付款)、Ya-Ting Jhan(已付款)、肚臍(已付款)、tina(已付款)、Bella Chen x4(已付款)、Joan(已付款)、hakumaio x2(已付款)、牛牛與點點 x2(已付款)、 候補人員: 動物病情說明: 雨中遇到的三花貓, 身體溼答答又病懨懨的
送往醫院檢查與治療, 貓咪送到醫院檢查, 照了腹腔超音波, 有腸蠕動不良, 肌肉層異常. 左心收縮不良, 發現有膿胸敗血與感染, 到院後趕緊幫貓咪處理, 有幫他抽胸水, 還有血檢, 陸續治療照顧貓咪恢復得很好, 後來感染也都控制下來, 但還有一些貧血, 醫生也幫他打造血針和鐵劑.動物近況說明: 在醫院精密的儀器和細心的照顧下, 讓小花從死神的手裡逃出, 出院後安置照顧, 目前有找到願意照顧小花一輩子的人, 感謝大家幫助這隻貓咪的醫療.











