贊助協會救治街貓帳戶--
外幣贊助匯款指示書>>
(北市社會字第3300號)
玉山銀行 中崙分行(代碼808)
0912940006763
戶名:社團法人臺北市支持流浪貓絕育計劃協會
收據可抵稅請將地址mail至cashier@tnrtw.org0912940006763
戶名:社團法人臺北市支持流浪貓絕育計劃協會
外幣贊助匯款指示書>>
(北市社會字第3300號)
已完成醫助款案例 |
|
- 編號: 9143
-
主題: 牙齦炎進行牙周手術的阿轉 申請者姓名: 臺北市支持流浪貓絕育計劃協會 花色: 申請日期: 2019-07-13 03:22:54 申請者部落格: 申請者臉書網址: https://www.facebook.com/SupportTNR/ 所在縣市/合作醫院: 台北市/沐恩動物醫院 治療費用: 15200元 需求人數: 58人 已結案 (2024-05-31 18:30:12) 報名人員: 郭默(已付款)、衛生紙(已付款)、Alan Tseng(已付款)、Alice Chen(已付款)、林琦 x2(已付款)、Alan Tseng(已付款)、連大興(已付款)、莉蘿(已付款)、王員外的爹 x2(已付款)、Meng-Chen Tseng x3(已付款)、特特(已付款)、小珍 x4(已付款)、Yijye x6(已付款)、小黃 x2、藍藍、藍藍、藍藍(已付款)、Sunny Guan(已付款)、吉(已付款)、Zhiyun(已付款)、allyn x10(已付款)、Ian Huang x2(已付款)、Lulu x2(已付款)、Elim(已付款)、馨慧 x2(已付款)、小黃 x2(已付款)、Ray0322(已付款)、PhoebeWang x9(已付款)、 候補人員: 動物病情說明: 阿轉是2013年協會工作人員於某處結束R貓回程中在待轉區發現的三腳貓,
當時阿轉出現在馬路中間討食,開罐頭給她吃時發現非常親人,由於是三腳貓又沒剪耳標記,就將阿轉帶回協會。
後來為阿轉找到了家、安排送養後,由屏東貓友帶回領養,但阿轉到新家後卻上演了失蹤記...
於是志工們又帶著誘捕籠南下尋找失蹤的阿轉,所幸最後終於找到了阿轉,當阿轉看到工作人員時卻一直撒嬌,似乎希望工作人員帶她回協會的家,因此工作人員決定再將阿轉帶回協會照顧。
阿轉回到協會後,不知為何開始發出刺耳的叫聲,因此送到醫院檢查是否沒有結紮乾淨。
到了醫院後因為儀器無法正確地判讀,只好決定讓阿轉開刀檢查,果然發現阿轉只有輸卵管被綁起來,
但子宮與卵巢都還在,便即進行了結紮手術。
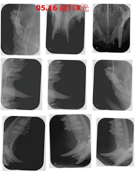
2019年4月間照護員發現阿轉食慾不佳,回報後約診檢查結果是牙齦炎及牙齒不好影響食慾,因此於5月16日進行牙周手術拔牙洗牙,拔除了左上犬齒1顆、後上小牙3顆,術後當日即接回照護。
休養幾日後,阿轉口腔不適感消失,很快就恢復了食慾、也像往常一樣的撒嬌親人,阿轉的啊啊叫聲特別有趣,她很喜歡被拍拍屁股,每次拍拍就會把屁股翹好高,模樣非常可愛,希望阿轉一直健康開心。
本筆醫助是阿轉在沐恩醫院檢查治療牙周的費用,包含牙周手術、齒科X光、用藥、血檢等,請大家幫幫可愛的阿轉,謝謝。
む收據め15200元
む醫療め
4/30 待轉 沐恩看診 袁醫師
體重:4.0kg
一、看診情形
血檢結果,紅白血球正常,血糖偏高。
口腔檢查,左犬齒牙齦很腫、齒根已外露,後口的牙齦也很紅,目前看來並非口炎,而是牙齦炎及牙齒本身的狀況,需安排進行牙周手術,術前會再複驗血糖情況。
二、用藥
術前一週再至醫院拿口服抗生素。
5/7 待轉 沐恩拿藥
口服抗生素:每天早一顆,飯後,5/9再開始吃。
說明:牙周手術前一週的用藥。
牙周手術:5/16 (週四)下午2:00,術前禁食水。
5/16 待轉 沐恩 牙周手術
體重:3.92kg
一、醫師說明
拔除左上犬齒1顆、後上小牙3顆、犬齒皮瓣縫合一處。
前次看診,左上犬齒基底相當紅腫,今X光顯示骨頭發炎,加上牙齦已無法包覆牙齒,因此必須拔除。
因犬齒齒根較長、接近鼻腔,部份病例在術後會有流鼻血情形,通常2-3天,逐漸變少、顏色轉淡,如超過3天仍有較多流血,請回報醫師。
二、術後照護
9:30可試給少量水,10:00可試少量軟食,
10:30可給正常食物。
上述階段之間如有嘔吐,請延後半小時進行。
三、 用藥
1. 止痛滴劑:5/17開始,早晚各1劑,飯前。
2. 抗生素:5/18開始,早晚各1顆,飯後。











