贊助協會救治街貓帳戶--
外幣贊助匯款指示書>>
(北市社會字第3300號)
玉山銀行 中崙分行(代碼808)
0912940006763
戶名:社團法人臺北市支持流浪貓絕育計劃協會
收據可抵稅請將地址mail至cashier@tnrtw.org0912940006763
戶名:社團法人臺北市支持流浪貓絕育計劃協會
外幣贊助匯款指示書>>
(北市社會字第3300號)
已完成醫助款案例 |
|
- 編號: 7987
-
主題: 進行鼻腔灌洗以及殘餘齒根拔牙的盈盈 申請者姓名: 臺北市支持流浪貓絕育計劃協會 花色: 申請日期: 2017-11-15 11:56:41 申請者部落格: 申請者臉書網址: 所在縣市/合作醫院: 台北市/內湖維康動物醫院 治療費用: 6300元 需求人數: 15人 已結案 (2024-06-01 13:20:01) 報名人員: Angie Lai(已付款)、Sky Lin(已付款)、無名氏(已付款)、lunyi(已付款)、Claire Chen(已付款)、Chen Peilly(已付款)、寶儿(已付款)、jerr(已付款)、崎(已付款)、豬妞妞(已付款)、丸子 x2(已付款)、a-song x2(已付款)、郭銘賢(已付款)、 候補人員: 動物病情說明: 盈盈因食慾不佳及上呼吸道膿樣分泌物,
經醫師檢查發現,盈盈可能歷經全口拔牙,
口腔呈現嚴重發炎,並有多數傷口癒合不良之情形
口炎鼻炎不易控制
於他家醫院建議拍攝齒科x光 懷疑齒根殘存
10/5門診時 口內檢查可摸到雙側下顎有殘存齒根
牙齦炎 咽喉炎(後口炎),有膿樣口水,
少量鼻膿
因為胸腔x光懷疑心臟較大
進行心臟超音波檢查 及血檢
狀況尚可 先開藥物 安排至維康動物院進行齒科x光
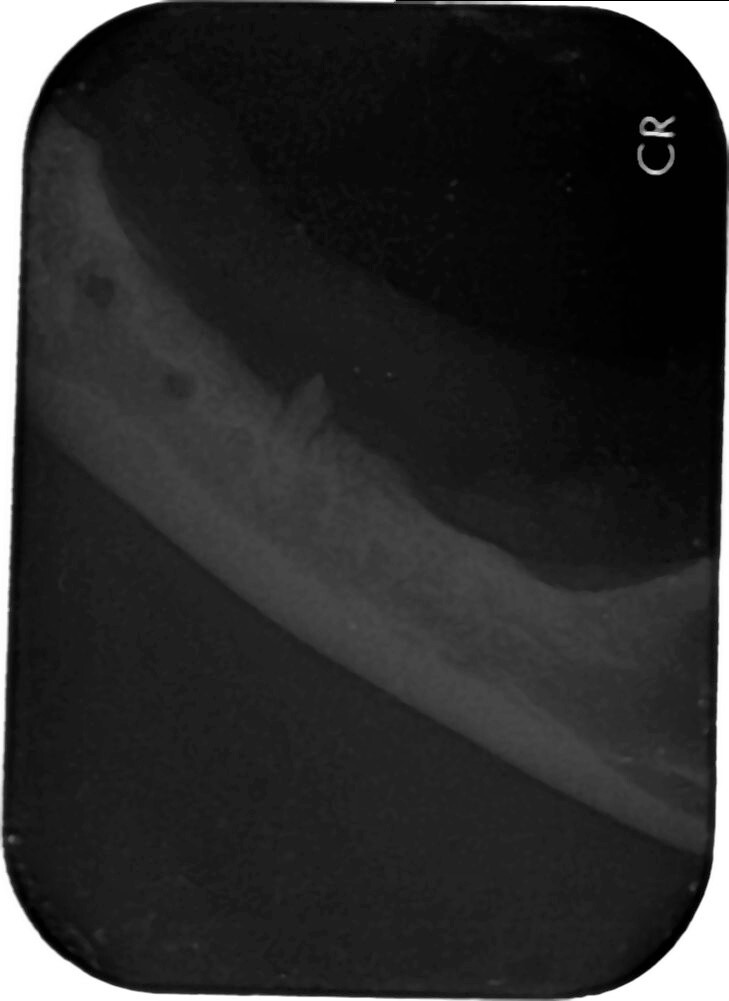
10/18維康麻醉進行齒科x光
及殘存齒根拔除
只發現下顎雙側各一齒根(如同門診可觸摸處)
本筆醫藥費用即為盈盈於維康進行齒科X光及殘存齒根拔除的費用
動物近況說明: 由於齒根拔除後,後口發炎的情況仍為有較明顯的改善
甚至出現舌炎,因此採樣檢查是否有腫瘤










